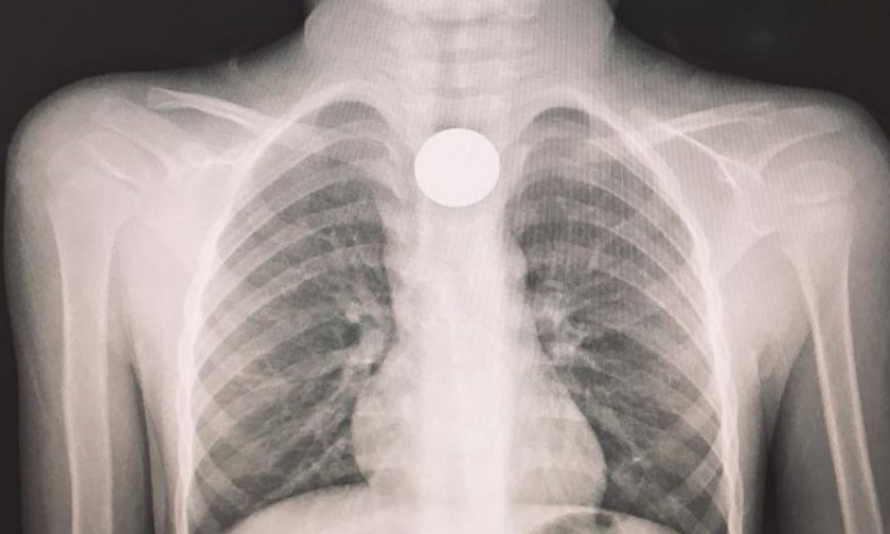
Giunto al pronto soccorso dopo aver ingoiato una moneta, viene trasferito in elicottero all’ospedale di Cosenza dove, dopo un tempestivo intervento, è stato dichiarato fuori pericolo.

“Si è conclusa positivamente la disavventura del piccolo A. M., 4 anni, italiano con genitori stranieri, che in mattinata era stato accompagnato al pronto soccorso dello Jazzolino. A dire dei familiari, il bimbo mentre giocava aveva probabilmente ingerito un corpo estraneo, poiché improvvisamente aveva smesso di parlare e si portava angosciosamente le mani alla gola.”
Fonte ed articolo completo qui: Quotidiano del Sud










